Wednesday, March 4, 2026
SidhivinayakTimes
  • –
  • देश समाचार
  • खेल
  • वीडियो
  • हिमाचल
    • शिमला
    • सोलन
    • किनौर
    • सिरमौर
    • कांगड़ा
    • हमीरपुर
    • मंडी
    • बिलासपुर
    • ऊना
    • चंबा
    • कुल्लू
    • लाहुल-स्पीति
  • राज्य
    • हरियाणा
    • पंजाब
    • चंडीगढ़
  • राजनीति
  • Himachal Halchal
  • Feature or Lekh
  • English
  • E-Paper
No Result
View All Result
SidhivinayakTimes
  • –
  • देश समाचार
  • खेल
  • वीडियो
  • हिमाचल
    • शिमला
    • सोलन
    • किनौर
    • सिरमौर
    • कांगड़ा
    • हमीरपुर
    • मंडी
    • बिलासपुर
    • ऊना
    • चंबा
    • कुल्लू
    • लाहुल-स्पीति
  • राज्य
    • हरियाणा
    • पंजाब
    • चंडीगढ़
  • राजनीति
  • Himachal Halchal
  • Feature or Lekh
  • English
  • E-Paper
No Result
View All Result
SidhivinayakTimes
ई पेपर

SidhivinayakTimes > Chandigarh > Complete Endoscopic Removal of 7 cm Skull Base Meningioma at PGIMER, Chandigarh

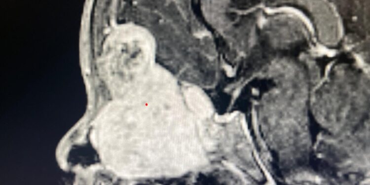
Complete Endoscopic Removal of 7 cm Skull Base Meningioma at PGIMER, Chandigarh

SIDHIVINAYAKTIMESH by SIDHIVINAYAKTIMESH
2 months ago
in Chandigarh
0

Sidhivinayak taimes Shimla। In a groundbreaking medical achievement, surgeons at PGIMER, Chandigarh have successfully removed a giant 7 cm skull base meningioma  from a 2-year-old child using only endoscopic techniques, marking a world first. The young patient from Sonipat, Haryana, had been suffering from a protruding left eye, restricted eye movement, snoring, and a nasal mass. Imaging revealed a massive tumor extending from the skull base into the nose, sinuses, orbit, and brain. Given the child’s age and the tumor’s complexity, the surgery posed extreme risks, including blood loss, hypothermia, and fluid imbalance.

 

Read This:https://sidhivinayaktimes.com/nurag-singh-thakur-slams-opposition-at-speaker-conference/

 

A specialized team of neurosurgeons, ENT specialists, anesthesiologists, and nursing staff collaborated on the meticulous 9-hour procedure. Using advanced endoscopic tools, angled instruments, navigation systems, and innovative techniques to access the tumor through the nose, the team successfully removed it entirely without open surgery. Post-operative scans confirmed total excision, and the child is recovering well. Experts say this milestone underscores the world-class surgical expertise and innovation at PGIMER, setting a new benchmark in pediatric neurosurgery.

Previous Post

स्पीकर सम्मेलन में अनुराग सिंह ठाकुर ने विपक्ष की आलोचना की

Next Post

सैन्य इतिहास और जीवन की झलक: शिमला में भारतीय सेना का विशेष मेला

SIDHIVINAYAKTIMESH

SIDHIVINAYAKTIMESH

Next Post
सैन्य इतिहास और जीवन की झलक: शिमला में भारतीय सेना का विशेष मेला

सैन्य इतिहास और जीवन की झलक: शिमला में भारतीय सेना का विशेष मेला

संदीपनी ने कहा: सरकारी डिपो में तेल की कमी से स्पष्ट हुई प्रशासनिक विफलता

संदीपनी ने कहा: सरकारी डिपो में तेल की कमी से स्पष्ट हुई प्रशासनिक विफलता

वीरभूमि हिमाचल का योगदान अनमोल: सेना दिवस पर पूर्व CM का संदेश

वीरभूमि हिमाचल का योगदान अनमोल: सेना दिवस पर पूर्व CM का संदेश

सचिवालय बना रणभूमि, प्रदेश की कानून-व्यवस्था चरमरा गई: डॉ. बिंदल

सचिवालय बना रणभूमि, प्रदेश की कानून-व्यवस्था चरमरा गई: डॉ. बिंदल

डंगार-चोखणा-बधाघाट सड़क बंद, केवल आपातकालीन वाहनों को अनुमति

डंगार-चोखणा-बधाघाट सड़क बंद, केवल आपातकालीन वाहनों को अनुमति

  • न्यूज़ फ़्लैश
  • सुपर ब्रेकिंग न्यूज़
  • एक्सक्लूसिव
Kangra Valley Carnival 2025 Begins in Dharamshala with Colourful Procession

Kangra Valley Carnival 2025 Begins in Dharamshala with Colourful Procession

December 24, 2025
कृषि अवसंरचना कोष की डिस्ट्रिक्ट लेवल मॉनिटरिंग कमेटी की बैठक आयोजित

कृषि अवसंरचना कोष की डिस्ट्रिक्ट लेवल मॉनिटरिंग कमेटी की बैठक आयोजित

December 4, 2023
देश के युवा पिड़ी को आग में झोकने का काम कर रहें PM मोदी : रिशु तेजटा

देश के युवा पिड़ी को आग में झोकने का काम कर रहें PM मोदी : रिशु तेजटा

June 30, 2023
Himachal’s Wing Commander Naman Siyal Dies in Tejas Jet Crash During Dubai Air Show

Himachal’s Wing Commander Naman Siyal Dies in Tejas Jet Crash During Dubai Air Show

November 23, 2025
दो दिवसीय दौरे पर हिमाचल पहुंचे राष्ट्रपति (President) रामनाथ कोविंद

दो दिवसीय दौरे पर हिमाचल पहुंचे राष्ट्रपति (President) रामनाथ कोविंद

0
दिल्ली के 16 लाख बच्चों की जिंदगी बदल दी, आज हिमाचल से एक मौका मांगने आया हूं: अरविंद केजरीवाल

दिल्ली के 16 लाख बच्चों की जिंदगी बदल दी, आज हिमाचल से एक मौका मांगने आया हूं: अरविंद केजरीवाल

0

जयराम ठाकुर केवल एक कठपुतली, मैं जयराम की कुंडली भी जानता हूं: विक्रमादित्य

0
अग्नीपथ योजना के खिलाफ हिमाचल में धरना प्रदर्शन, पीएम मोदी के धर्मशाला रोड शो से पहले युवाओं ने किया चक्का जाम

अग्नीपथ योजना के खिलाफ हिमाचल में धरना प्रदर्शन, पीएम मोदी के धर्मशाला रोड शो से पहले युवाओं ने किया चक्का जाम

0
Global Leaders Join CTA to Mark 86 Years of the 14th Dalai Lama’s Enthronement

Global Leaders Join CTA to Mark 86 Years of the 14th Dalai Lama’s Enthronement

February 22, 2026
पालमपुर डिपो में इलेक्ट्रिक बस का दो दिवसीय ट्रायल शुरू, विधायक आशीष बुटेल ने किया निरीक्षण

पालमपुर डिपो में इलेक्ट्रिक बस का दो दिवसीय ट्रायल शुरू, विधायक आशीष बुटेल ने किया निरीक्षण

February 21, 2026
Sukhu Meets Kharge, Rahul Gandhi Over RDG Withdrawal and Apple Economy Concerns

Sukhu Meets Kharge, Rahul Gandhi Over RDG Withdrawal and Apple Economy Concerns

February 21, 2026
“PGI organised lecture on Advances in cell culture- transitioning from 2D to 3 D”

“PGI organised lecture on Advances in cell culture- transitioning from 2D to 3 D”

February 21, 2026

Polls

तीसरा टी 20 इंटरनेशनल मैच कौन सी टीम जीतेगी?

View Results

Loading ... Loading ...

Post View

15

Recent News

Global Leaders Join CTA to Mark 86 Years of the 14th Dalai Lama’s Enthronement

Global Leaders Join CTA to Mark 86 Years of the 14th Dalai Lama’s Enthronement

2026/02/22 08:22:12pm
पालमपुर डिपो में इलेक्ट्रिक बस का दो दिवसीय ट्रायल शुरू, विधायक आशीष बुटेल ने किया निरीक्षण

पालमपुर डिपो में इलेक्ट्रिक बस का दो दिवसीय ट्रायल शुरू, विधायक आशीष बुटेल ने किया निरीक्षण

2026/02/21 07:38:21pm
Sukhu Meets Kharge, Rahul Gandhi Over RDG Withdrawal and Apple Economy Concerns

Sukhu Meets Kharge, Rahul Gandhi Over RDG Withdrawal and Apple Economy Concerns

2026/02/21 07:36:11pm
“PGI organised lecture on Advances in cell culture- transitioning from 2D to 3 D”

“PGI organised lecture on Advances in cell culture- transitioning from 2D to 3 D”

2026/02/21 07:34:12pm
SidhivinayakTimes

Sidhivinayaktimes , a Digital Media sharing people's thoughts valuable information and news in bilingual around global🌎. The Digital Media platform was started on December 2021. Portal was registered under the Ministry of Information and Broadcasting Govt of India 🇮🇳 in accordance with rule 18 of the Information Technology (Intermediary Guidelines and Digital Media Ethics Code) Rules, 2021.

Email: sidhivinayaktimes@gmail.com

Phone: 9816013276

Browse By Category

  • Himachal
  • National
  • Punjab
  • Sidhivinayaktimes E-Paper
  • Chandigarh
  • Haryana
  • Feature or Lekh
  • Video
  • Sports

    Visitors

    Live visitors
    283
    9052
    Visitors Today
    2879689
    Total
    Visitors

    Advertise With Us

    Advertise With Us

    Publish Your News With Us

    Follow Us

    Call Us

    +91-9816013276

    • Contact Us
    • Privacy Policy

    Sitemap | © 2026 Sidhivinayak Times - All Rights Reserved
    • Contact Us
    • Privacy Policy
    • Term & Conditions

    No Result
    View All Result
    • –
    • देश समाचार
    • खेल
    • वीडियो
    • हिमाचल
      • शिमला
      • सोलन
      • किनौर
      • सिरमौर
      • कांगड़ा
      • हमीरपुर
      • मंडी
      • बिलासपुर
      • ऊना
      • चंबा
      • कुल्लू
      • लाहुल-स्पीति
    • राज्य
      • हरियाणा
      • पंजाब
      • चंडीगढ़
    • राजनीति
    • Himachal Halchal
    • Feature or Lekh
    • English
    • E-Paper

    Sitemap | © 2026 Sidhivinayak Times - All Rights Reserved
    • Contact Us
    • Privacy Policy
    • Term & Conditions

    advanced-floating-content-close-btnContact Us

    Advertise With Us







      WhatsApp us